Set 1 Normal and Abnormal Peripheral Blood Cells

Slide 167 of 200 Image ID 3702

Keywords
T-chronic lymphocytic leukemia


Description
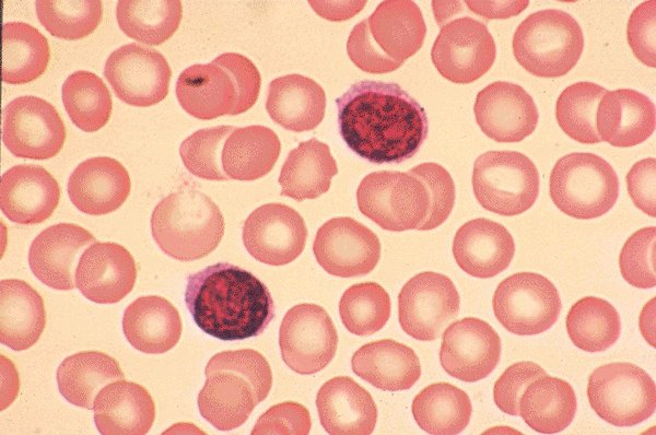
This peripheral blood smear is from a patient with T chronic
lymphocytic leukemia. There may be some increased clefting of the
nuclei in the two cells shown here, though this would require further
study for definitive diagnosis.
Click on this image
to enlarge it, then
on Back buttom
in the Netscape Menu
to shrink it back down