Set 1 Normal and Abnormal Peripheral Blood Cells

Slide 178 of 200 Image ID 3796

Keywords
Plasma cell leukemia


Description
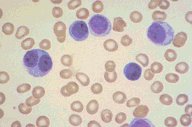
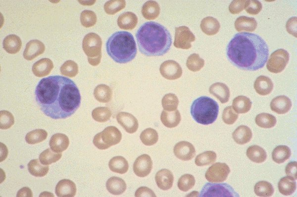
This high dry magnification view is of a peripheral blood smear in a
patient with plasma cell leukemia. Little red cell rouleaux is seen. The
leukemic plasma cells vary, and one of them is binucleate.
Click on this image
to enlarge it, then
on Back buttom
in the Netscape Menu
to shrink it back down