Set 1 Normal and Abnormal Peripheral Blood Cells

Slide 21 of 200 Image ID 987

Keywords
Pernicious anemia


Description
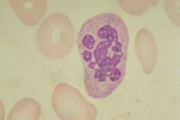
A huge hypersegmented neutrophil is seen in this high oil view
of the peripheral blood. The patient's diagnosis was pernicious
anemia.
Click on this image
to enlarge it, then
on Back buttom
in the Netscape Menu
to shrink it back down