Set 1 Normal and Abnormal Peripheral Blood Cells

Slide 22 of 200 Image ID 970

Keywords
Pernicious anemia


Description
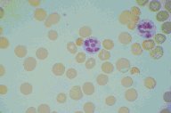
The low power view of this peripheral blood smear in a patient
with pernicious anemia shows macrocytosis and two neutrophils
with four and five nuclear lobes respectively.
Click on this image
to enlarge it, then
on Back buttom
in the Netscape Menu
to shrink it back down