Set 1 Normal and Abnormal Peripheral Blood Cells

Slide 29 of 200 Image ID 1055

Keywords
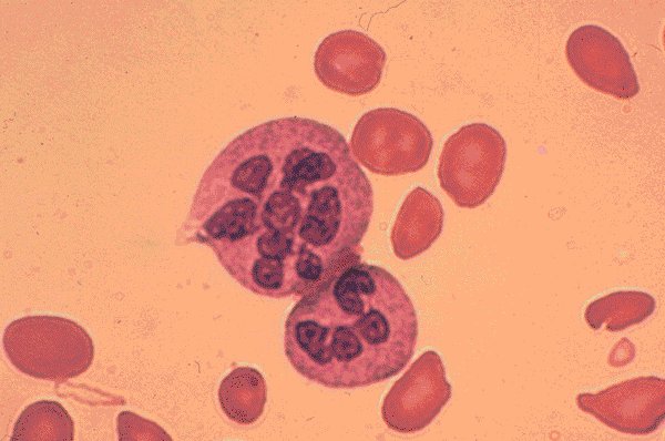
Megaloblastic anemia


Description
A hypersegmented neutrophil with seven nuclear lobes is seen
in this peripheral blood smear. A four-lobed neutrophil is also
present, as are oval macrocytes.
Click on this image
to enlarge it, then
on Back buttom
in the Netscape Menu
to shrink it back down