Set 1 Normal and Abnormal Peripheral Blood Cells

Slide 33 of 200 Image ID 1091

Keywords
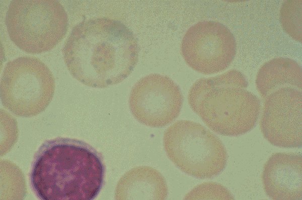
Beta-Thalassemia, heterozygous


Description
High oil magnification view of a patient with homozygous beta thalassemia.
A normal lymphocyte is seen for comparison purposes. A target cell is
also seen, as are several microcytic cells.
Click on this image
to enlarge it, then
on Back buttom
in the Netscape Menu
to shrink it back down