Set 1 Normal and Abnormal Peripheral Blood Cells

Slide 34 of 200 Image ID 1102

Keywords
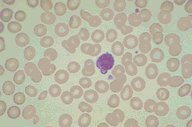
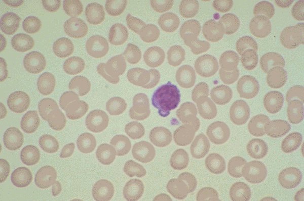
Beta-Thalassemia, heterozygous


Description
This slide shows a high dry view of a Wright's stained blood smear
of a patient with heterozygous beta thalassemia. Some variation in
size and shape is apparent as is modest microcytosis and
hypochromia. Platelets are also seen.
Click on this image
to enlarge it, then
on Back buttom
in the Netscape Menu
to shrink it back down