Set 1 Normal and Abnormal Peripheral Blood Cells

Slide 57 of 200 Image ID 1217

Keywords
Iron deficiency


Description
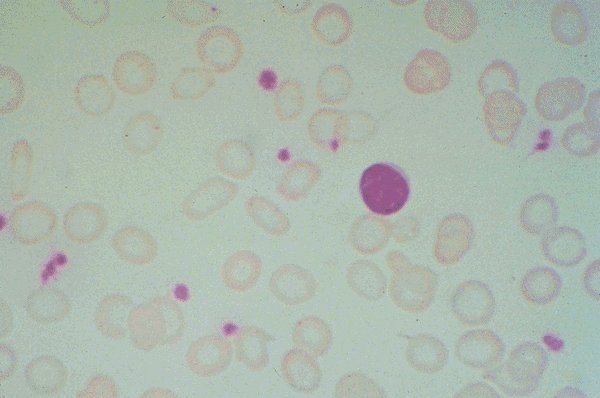
This high dry magnification view is of a peripheral blood
smear in a patient with iron deficiency anemia, whose hemoglobin
was in the 5 to 6 gram range. A normal lymphocyte is seen for comparison
purposes. The red cells are markedly hypochromic and microcytic.
Incresased platelets are also seen.
Click on this image
to enlarge it, then
on Back buttom
in the Netscape Menu
to shrink it back down