Set 1 Normal and Abnormal Peripheral Blood Cells

Slide 58 of 200 Image ID 1236

Keywords
Iron deficiency


Description
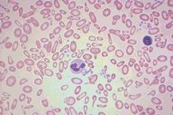
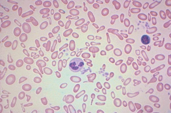
This low dry magnification view is of the Wright's stained
peripheral blood in a patient with severe iron deficiency
anemia. A normal lymphocyte and neutrophil are seen in the field as well.
The red cells show striking abnormalities in shape and size, as
well as marked microcytosis and hypochromia. Many elongated,
cigar-shaped cells are present.
Click on this image
to enlarge it, then
on Back buttom
in the Netscape Menu
to shrink it back down