Set 1 Normal and Abnormal Peripheral Blood Cells

Slide 59 of 200 Image ID 1229

Keywords
Iron deficiency


Description
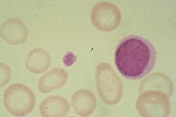
This high oil magnification view of a patient with iron
deficiency shows a normal lymphocyte and platelets, as well
as significant hypochromia and microcytosis. There is some
variation in the red cell size as well.
Click on this image
to enlarge it, then
on Back buttom
in the Netscape Menu
to shrink it back down