Set 1 Normal and Abnormal Peripheral Blood Cells

Slide 67 of 200 Image ID 1318

Keywords
Hereditary elliptocytosis


Description
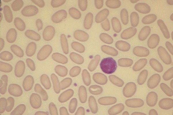
Hereditary elliptocytosis: A normal lymphocyte is seen, as are
several platelets. Most of the red cells in the photograph are
elliptocytes.
Click on this image
to enlarge it, then
on Back buttom
in the Netscape Menu
to shrink it back down