Set 1 Normal and Abnormal Peripheral Blood Cells

Slide 66 of 200 Image ID 1327

Keywords
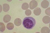
Hereditary spherocytosis


Description
In this high oil magnification photomicrograph, virtually every
red cell is spherocytic. A normal lymphocyte is also included
for comparison purposes.
Click on this image
to enlarge it, then
on Back buttom
in the Netscape Menu
to shrink it back down