Set 1 Normal and Abnormal Peripheral Blood Cells

Slide 65 of 200 Image ID 1326

Keywords
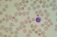
Hereditary spherocytosis


Description
Hereditary spherocytosis: A normal lymphocyte and many
spherocytic red cells are seen in this high dry
magnification view of the Wright's stained peripheral blood.
Click on this image
to enlarge it, then
on Back buttom
in the Netscape Menu
to shrink it back down