Set 1 Normal and Abnormal Peripheral Blood Cells

Slide 88 of 200 Image ID 1522

Keywords
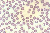
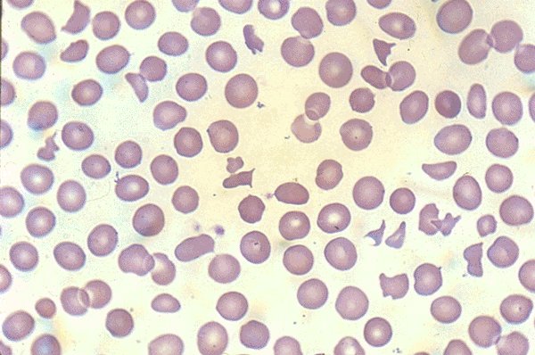
Microangiopathic hemolytic anemia



Description
Microangiopathy: This low dry magnification photomicrograph is from
the Wright's stained peripheral blood of a patient with microangiopathic
hemolytic anemia. Fragmented blood cells are clearly seen in this field.
Click on this image
to enlarge it, then
on Back buttom
in the Netscape Menu
to shrink it back down