Set 1 Normal and Abnormal Peripheral Blood Cells

Slide 82 of 200 Image ID 1482

Keywords
Erythrophagocytosis



Description
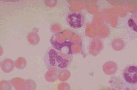
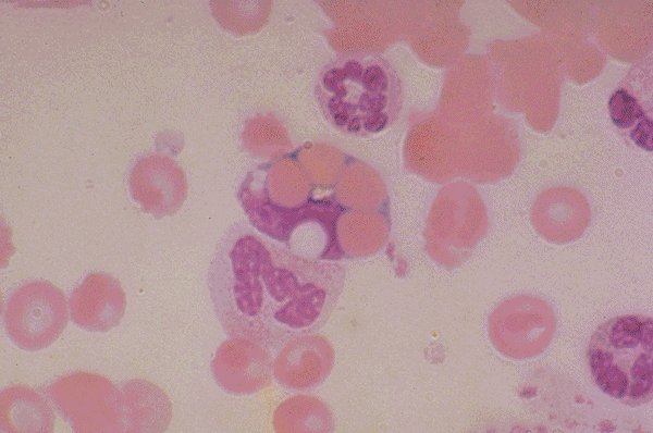
This low oil magnification view shows the peripheral blood in a patient
with a hemolytic process associated with erythrophagocytosis.
That abnormality is seen in the center of the field where four red cells
have been engulfed by a cell in the monocyte macrophage line. Several
neutrophils are also seen in the field. Other red cells in the field
appear to be agglutinated.
Click on this image
to enlarge it, then
on Back buttom
in the Netscape Menu
to shrink it back down