Set 2 Normal and Abnormal Bone Marrow Aspirates

Slide 2 of 260 Image ID 508

Keywords
Normal bone marrow

Description
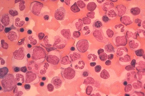
This high dry view of a Wright's stained bone
marrow aspirate shows a normal distribution of
erythroid and myeloid cells. The erythroid cells
have a clumped, condensed nuclear chromatin
and occupy less than half oh the nucleated cell
population in this field.

Click on this image
to enlarge it, then
on Back buttom
in the Netscape Menu
to shrink it back down