Set 2 Normal and Abnormal Bone Marrow Aspirates

Slide 3 of 260 Image ID 506

Keywords
Normal bone marrow


Description
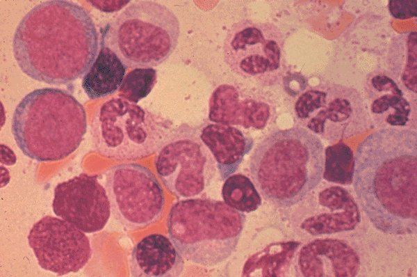
This low oil magnification view of a bone marrow
aspirate, stained with Romanofsky stain, shows
primarily myeloid precursors ranging from
myeloblasts to segmented neutrophils. Several
erytroid precursors with condensed nuclear
chromatin are also seen.

Click on this image
to enlarge it, then
on Back buttom
in the Netscape Menu
to shrink it back down