Set 2 Normal and Abnormal Bone Marrow Aspirates

Slide 4 of 260 Image ID 505

Keywords
Normal bone marrow


Description
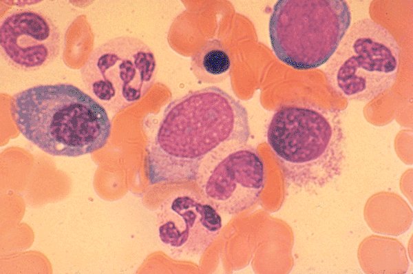
This low oil view of a Romanofsky stained, normal
bone marrow aspirate shows primarily myeloid
precursors. A plasma cell with an eccentric
nucleus is seen to the left of center.

Click on this image
to enlarge it, then
on Back buttom
in the Netscape Menu
to shrink it back down