Set 2 Normal and Abnormal Bone Marrow Aspirates

Slide 6 of 260 Image ID 546

Keywords
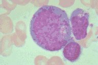
Normal promyelocyte


Description
A normal promyelocyte is seen in the centre of
this very high oil magnification view of a bone
marrow aspirate. Primary and secondary granules
are present in the cytoplasm, and at least one
nucleolus is present in the nucleus.


Click on this image
to enlarge it, then
on Back buttom
in the Netscape Menu
to shrink it back down