Set 2 Normal and Abnormal Bone Marrow Aspirates

Slide 7 of 260 Image ID 549

Keywords
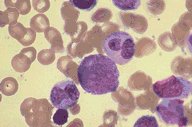
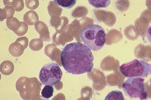
Normal granulocyte precursors


Description
In this low oil magnification Wright's stained bone
marrow aspirate, several myeloid precursors are
seen. An early promyelocyte is present in the
center and three metamyelocytes and a
segmented neutrophil surround it.

Click on this image
to enlarge it, then
on Back buttom
in the Netscape Menu
to shrink it back down