Set 2 Normal and Abnormal Bone Marrow Aspirates

Slide 23 of 260 Image ID 665

Keywords
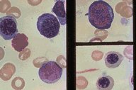
Composite slide showing erythroblasts in various
stages of maturation


Description
This composite slide shows erythroblasts in
varying stages of maturation. A proerythroblast is
seen in the upper frame, contrasted to
orthochromic erythroblasts in the lower frame.
A variety of polychromatophilic erythroblasts is
seen in the single frame to the left. The stain in
Wright's, and the magnification is low oil.
Click on this image
to enlarge it, then
on Back buttom
in the Netscape Menu
to shrink it back down