Set 2 Normal and Abnormal Bone Marrow Aspirates

Slide 25 of 260 Image ID 707

Keywords
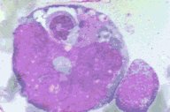
Megakaryocyte showing emperipolesis

Description
This low oil magnification view of a more mature
megakaryocyte with some lobulation also shows
an engulfed but undamaged neutrophil and an
engulfed but undamaged erythrocyte. This is
referred to as empiripolesis.

Click on this image
to enlarge it, then
on Back buttom
in the Netscape Menu
to shrink it back down