Set 2 Normal and Abnormal Bone Marrow Aspirates

Slide 30 of 260 Image ID 1527

Keywords
Erythroid hyperplasia

Description
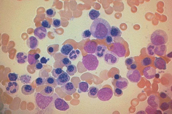
This low power view of the Wright's stained bone
marrow shows a modest increase in erythroid
precursors, again primarily noted by their
condensed coal-black nuclei.

Click on this image
to enlarge it, then
on Back buttom
in the Netscape Menu
to shrink it back down