Set 2 Normal and Abnormal Bone Marrow Aspirates

Slide 40 of 260 Image ID 785

Keywords
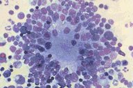
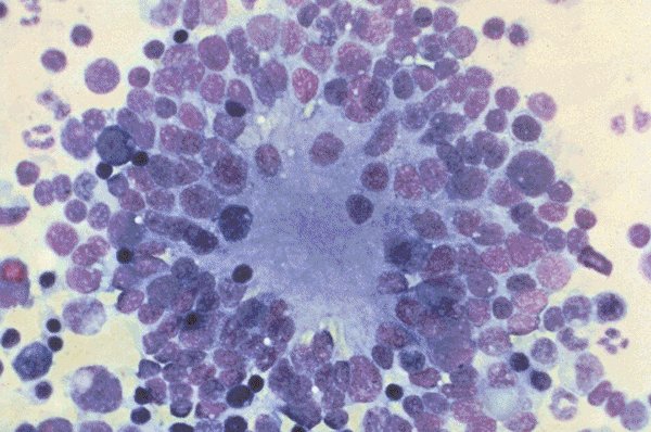
Metastatic neuroblastoma in bone marrow

Description
This patient has a metastatic neuroblastoma. The
neoplastic cells in this Wright's stained specimen
are clustered in a rosette form, which is a
somewhat distinguishing feature for this
neoplasm.

Click on this image
to enlarge it, then
on Back buttom
in the Netscape Menu
to shrink it back down