Set 2 Normal and Abnormal Bone Marrow Aspirates

Slide 92 of 260 Image ID 1673

Keywords
Leukemoid reaction

Description
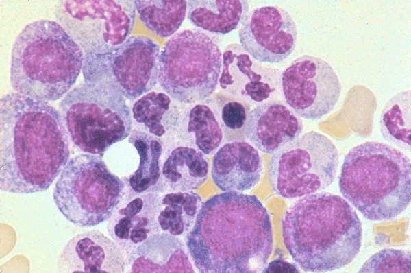
This is a low oil magnification view of a bone
marrow aspirate, stained with Wright's stain, of a
patient with a leukemoid reaction. Only one
erythroid precursor is clearly visible. The rest are
myeloid precursors in varying stages of
maturation, ranging from myeloblasts to
segmented neutrophil.

Click on this image
to enlarge it, then
on Back buttom
in the Netscape Menu
to shrink it back down