Set 2 Normal and Abnormal Bone Marrow Aspirates

Slide 114 of 260 Image ID 1992

Keywords
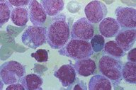
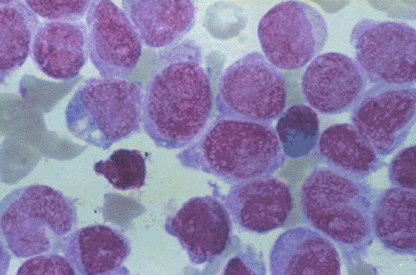
ANLL-M-4

Description
This is a Wright's stained preparation of a bone
marrow aspirate of a patient with acute non-
lymphoblastic leukemia, FAB classification M-4.
Moderate to marked variation in the blasts is
noted, reflecting both their myeloid and
monocytoid lineage.

Click on this image
to enlarge it, then
on Back buttom
in the Netscape Menu
to shrink it back down