Set 2 Normal and Abnormal Bone Marrow Aspirates

Slide 141 of 260 Image ID 4279

Keywords
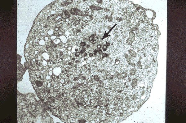
ANLL-M-7 electron micrograph of an M-7
megakaryoblast

Description
This electron photomicrograph shows a
megakaryoblast in a patient with acute non-
lymphoblastic leukemia, FAB type M-7. Small
specific granules are seen, which identify this cell
as being of the megakaryocytic line.

Click on this image
to enlarge it, then
on Back buttom
in the Netscape Menu
to shrink it back down