Set 2 Normal and Abnormal Bone Marrow Aspirates

Slide 200 of 260 Image ID 3653

Keywords
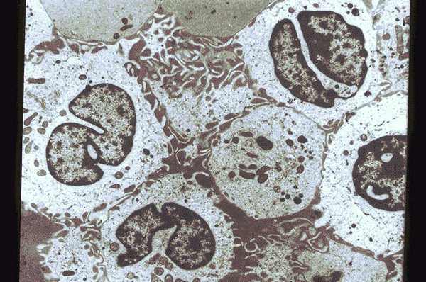
Hairy cell leukemia. Electron photomicrograph.



Description
Electomicrograph of a specimen of blood from a
patient with Hairy cell leukemia. The Hairy cells in
this specimen is characterized by numerous
delicate cytoplasmic pseudopods and lobulated
and folded nuclei which have relatively finely
dispersed chromatin.

Click on this image
to enlarge it, then
on Back buttom
in the Netscape Menu
to shrink it back down