Set 2 Normal and Abnormal Bone Marrow Aspirates

Slide 197 of 260 Image ID 3692

Keywords
Chronic lymphocytic leukemia



Description
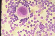
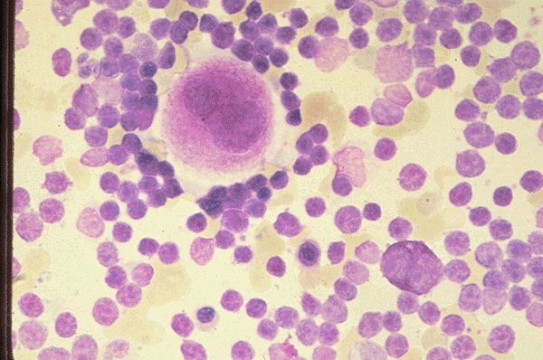
This is a low power view of a bone marrow from a
patient with chronic lymphocytic leukemia. The
stain is Wright's. The more mature nuclei of the
lymphocytes can be appreciated even at this
power.

Click on this image
to enlarge it, then
on Back buttom
in the Netscape Menu
to shrink it back down