Set 2 Normal and Abnormal Bone Marrow Aspirates

Slide 195 of 260 Image ID 4555

Keywords
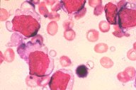
Richter transformation from chronic lymphocytic
leukemia


Description
Acute lymphoblastic leukemia following Richter's
transformation in a patient with chronic
lymphocytic leukemia. The view is of a bone
marrow aspirate at low oil magnification stained
with Wright's stain.

Click on this image
to enlarge it, then
on Back buttom
in the Netscape Menu
to shrink it back down