Set 2 Normal and Abnormal Bone Marrow Aspirates

Slide 194 of 260 Image ID 3333

Keywords
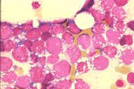
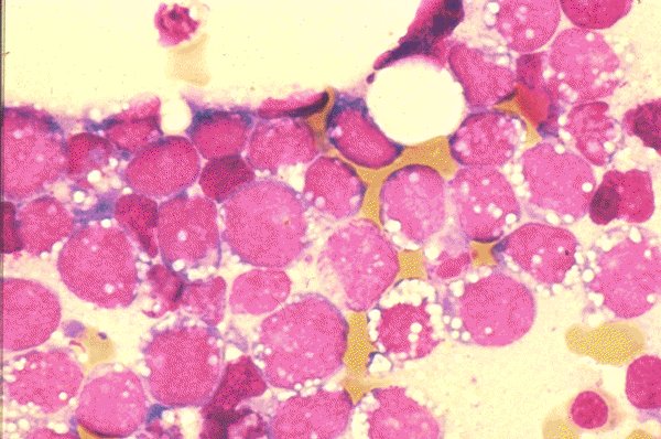
Acute lymphoblastic leukemia-L3


Description
This is a low oil magnification view of a Wright's
stained bone marrow smear in a patient with acute
lymphoblastic leukemia, FAB type L-3 (Burkitt's
type). Very prominent nuclear and cytoplasmic
vacuoles are clearly seen in this photomicrograph.

Click on this image
to enlarge it, then
on Back buttom
in the Netscape Menu
to shrink it back down