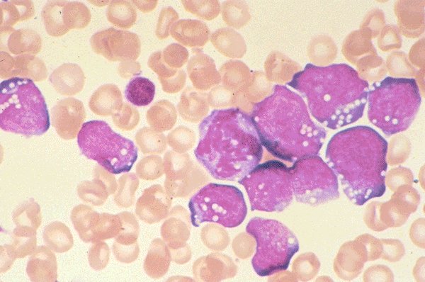
Set 2 Normal and Abnormal Bone Marrow Aspirates

Slide 193 of 260 Image ID 3325

Keywords
Acute lymphoblastic leukemia-L3


Description
This is a low oil view of a Wright's stained bone
marrow smear in a patient with acute
lymphoblastic leukemia, FAB type L-3. This is a
pleomorphism of the cells and both cytoplasmic
and nuclear vacuolization.

Click on this image
to enlarge it, then
on Back buttom
in the Netscape Menu
to shrink it back down