Set 2 Normal and Abnormal Bone Marrow Aspirates

Slide 190 of 260 Image ID 3317

Keywords
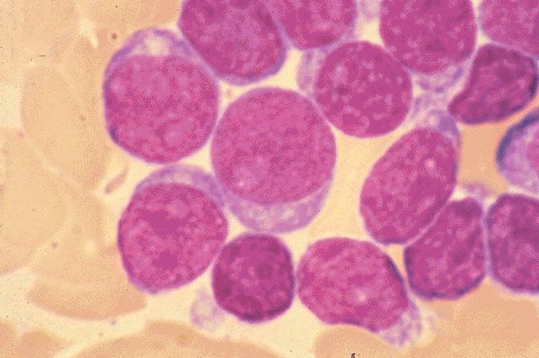
Acute lymphoblastic leukemia-L2


Description
This is a high oil view of a Wright's stained bone
marrow in a patient whose diagnosis was acute
lymphoblastic leukemia, FAB type L-2. The
lymphoblasts show more variation in their size, the
nuclei are particularly more pleomorphic and
nucleoli are clearly seen.

Click on this image
to enlarge it, then
on Back buttom
in the Netscape Menu
to shrink it back down