Set 2 Normal and Abnormal Bone Marrow Aspirates

Slide 187 of 260 Image ID 3299

Keywords
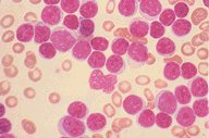
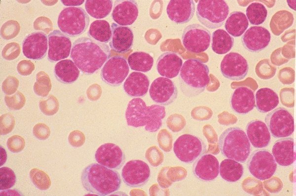
Acute lymphoblastic leukemia-L1


Description
This high power view of a Wright's stained bone
marrow specimen is from a patient with acute
lymphoblastic leukemia, FAB classification L-1.
The cells are of fairly uniform size, and have a
very high nuclear cytoplasmic ratio.

Click on this image
to enlarge it, then
on Back buttom
in the Netscape Menu
to shrink it back down