Set 2 Normal and Abnormal Bone Marrow Aspirates

Slide 150 of 260 Image ID 2417

Keywords
Chronic granulocytic leukemia


Description
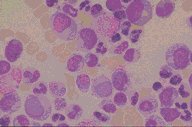
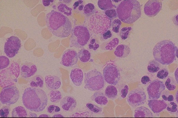
This bone marrow aspirate is from a patient with
chronic granulocytic leukemia in chronic phase.
There is some shift to the left, but orderly
maturation also exists. The magnification is high
dry and the stain is Wright's.

Click on this image
to enlarge it, then
on Back buttom
in the Netscape Menu
to shrink it back down