Set 2 Normal and Abnormal Bone Marrow Aspirates

Slide 207 of 260 Image ID 3590

Keywords
Hodgkin's disease Reed-Sternberg cell



Description
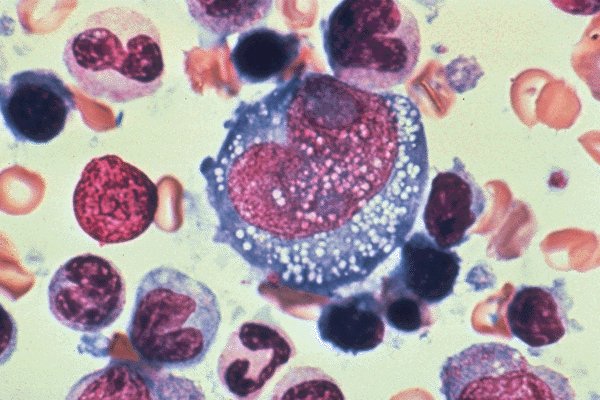
Bone marrow smear from a patient with advanced
Hodgkin's Disease. The large cell in the central
portion of the field has a lobulated nucleus and
very prominent nucleoli. The cytoplasm shows
marked cytoplasmic vacuolization. The cell is
interpreted as a Reed-Sternberg cell.

Click on this image
to enlarge it, then
on Back buttom
in the Netscape Menu
to shrink it back down