Set 2 Normal and Abnormal Bone Marrow Aspirates

Slide 253 of 260 Image ID 3963

Keywords
Leishmania donovani



Description
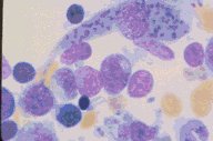
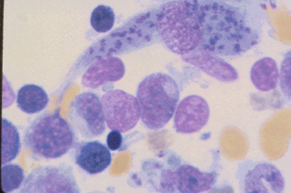
This Wright's stained bone marrow aspirate is
from a patient who has leishmania. The
organisms are particularly prominent in the
monocyte-macrophage at the top of the field.
Magnification is low oil.

Click on this image
to enlarge it, then
on Back buttom
in the Netscape Menu
to shrink it back down