Set 2 Normal and Abnormal Bone Marrow Aspirates

Slide 224 of 260 Image ID 3807

Keywords
Plasma cell leukemia



Description
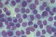
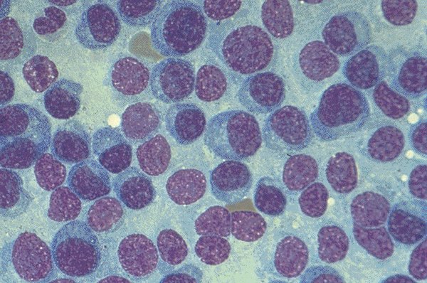
This low oil magnification view is of a bone
marrow aspirate that has been stained with
Wright's stain. The patient had plasma cell
leukemia and virtually the whole marrow was
replaced with these leukemic cells.

Click on this image
to enlarge it, then
on Back buttom
in the Netscape Menu
to shrink it back down