Set 2 Normal and Abnormal Bone Marrow Aspirates

Slide 221 of 260 Image ID 3747

Keywords
Multiple myeloma



Description
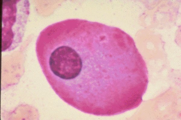
This high oil magnification view is of a bone
marrow aspirate in a patient with multiple
myeloma. The cytoplasmic periphery has a much
more intense pink stain and these cells are called
flaming myeloma cells or flaming plasma cells.

Click on this image
to enlarge it, then
on Back buttom
in the Netscape Menu
to shrink it back down