Set 2 Normal and Abnormal Bone Marrow Aspirates

Slide 219 of 260 Image ID 3777

Keywords
Multiple myeloma



Description
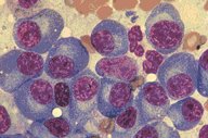
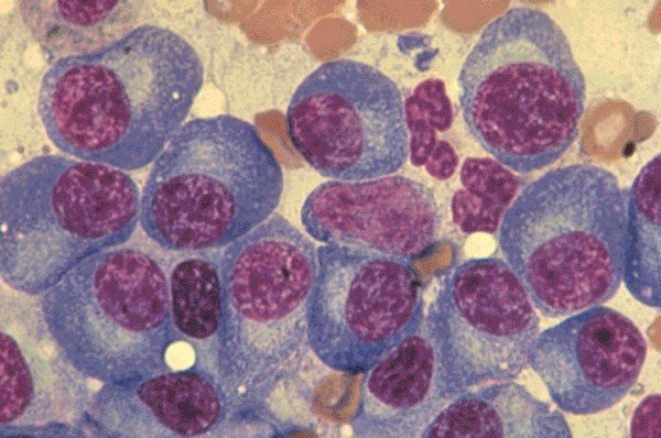
This Wright's stained bone marrow aspirate is a
low oil magnification view of a patient with multiple
myeloma. Virtually every cell in the field is a
neoplastic plasma cell. They show nuclear
eccentricity, pleomorphism and a tendency to
stick together in clumps.

Click on this image
to enlarge it, then
on Back buttom
in the Netscape Menu
to shrink it back down