Set 11 Acute Leukemias
Slide 14 of 100 Image ID 1824

Keywords
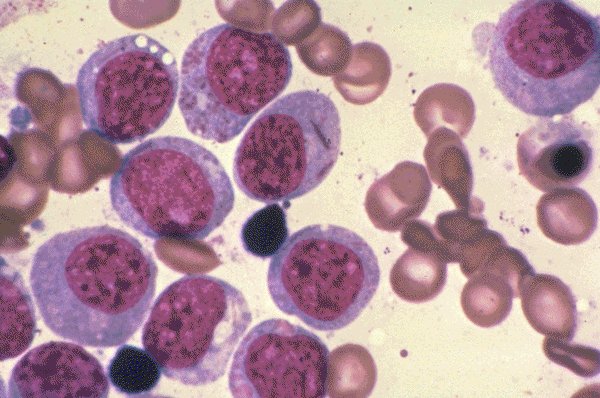
M2, (Auer rods), (T 8:21), BMA


Description
Bone marrow smear from a patient with acute
myeloblastic leukemia without maturation, M2. The
blast cells in this marrow contained abundant
azurphilic granulation and numerous long slender
auer rods as illustrated in this field. These
findings are suggested of a T(8:21) chromosome
abnormality.

Click on this image
to enlarge it, then
on Back botton
in the Netscape Menu
to shrink it back down