Set 11 Acute Leukemias
Slide 11 of 100 Image ID 1775

Keywords
M1, (Auer rods), BMA


Description
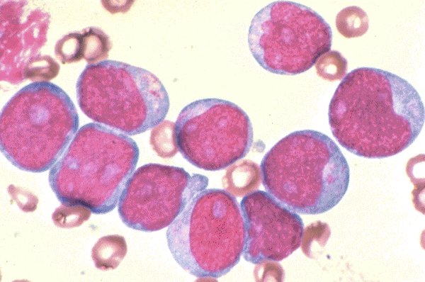
Bone marrow smear from a patient with acute
myeloblastic leukemia without maturation, M1.
Virtually all of the cells in the bone marrow were
myeloblasts. There was little evidence of
maturation beyond the myeloblast stage. Several
of the myeloblasts contain azurophilic granules
and occasional Auer rods are identified.

Click on this image
to enlarge it, then
on Back botton
in the Netscape Menu
to shrink it back down