Set 11 Acute Leukemias
Slide 9 of 100 Image ID 1776

Keywords
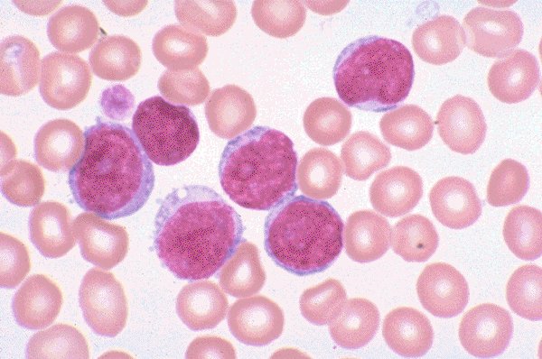
M1, PB


Description
This Wright's stained peripheral blood smear, at
low oil magnification, shows characteristic
myeloblasts. The diagnosis is acute non-
lymphoblastic leukemia, M1.

Click on this image
to enlarge it, then
on Back botton
in the Netscape Menu
to shrink it back down