Set 11 Acute Leukemias
Slide 20 of 100 Image ID 1879

Keywords
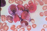
M3 / Acute Promyelocytic, (Hypergranular), (Auer
rods), BMA


Description
Bone marrow smear from a patient with acute
promyelocytic leukemia hypergranular type. The
myeloblast in the central portion of the photograph
contains numerous long slender Auer rods. This
cell is referred to as a faggot cell and is found in
approximately 90-95% of cases of acute
promyelocytic leukemia.

Click on this image
to enlarge it, then
on Back botton
in the Netscape Menu
to shrink it back down