Set 11 Acute Leukemias
Slide 23 of 100 Image ID 1917

Keywords
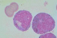
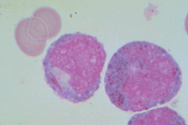
M3 / Acute Promyelocytic, (Auer rods), BMA


Description
This very high oil magnification view is of the bone
marrow aspirate in a patient with acute non-
lymphoblastic leukemia, FAB category M3.
These abnormal blasts show some decrease in
expected granulation. One shows an Auer rod,
and both show nucleoli. This was originally
diagnosed as a hypogranular variant.

Click on this image
to enlarge it, then
on Back botton
in the Netscape Menu
to shrink it back down