Set 11 Acute Leukemias
Slide 30 of 100 Image ID 2026

Keywords
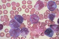
M4 - Acute Myelomonocytic, BMA


Description
This low oil magnification photomicrograph is
from a Wright's stained bone marrow aspirate
from a patient with acute non-lymphoblastic
leukemia, FAB classification M4. Many of the
abnornal cells have monocytoid features and
several are abnormal granulocytic precursors. An
abnormal erythroid precursor is also seen.

Click on this image
to enlarge it, then
on Back botton
in the Netscape Menu
to shrink it back down