Set 11 Acute Leukemias
Slide 31 of 100 Image ID 2020

Keywords
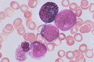
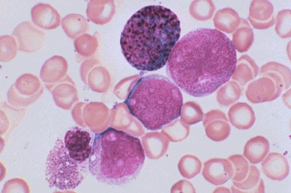
M4 - Acute Myelomonocytic, (Inv. 16), BMA


Description
Bone marrow smear from a patient with acute
myelomonocytic leukemia associated with an
inversion of the long arm of chromosome 16.
There is an immature eosinophil which contains
numerous coarse basophilic granules.
Eosinophils with this mixed eosinophilic basophil
granulation are characteristic of this chromosome
abnormality.

Click on this image
to enlarge it, then
on Back botton
in the Netscape Menu
to shrink it back down