Set 11 Acute Leukemias
Slide 44 of 100 Image ID 2126

Keywords
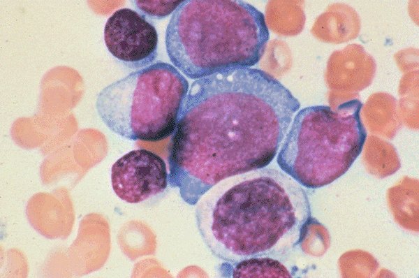
M5a - Acute Monoblastic, BMA


Description
Bone marrow smear from a case of acute
monoblastic leukemia, M5A, showing numerous
monoblasts. These cells vary in size, have
abundant basophilic cytoplasm and slightly
coarse nuclear chromatin with distinct nucleoli.

Click on this image
to enlarge it, then
on Back botton
in the Netscape Menu
to shrink it back down