Set 11 Acute Leukemias
Slide 45 of 100 Image ID 2129

Keywords
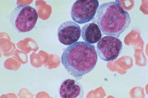
M5a - Acute Monoblastic, BMA


Description
Bone marrow smear from a case of acute
monoblastic leukemia, M5A. The monoblasts in
this smear vary somewhat in size from large cells
with abundant basophilic cytoplasm to smaller
cells with sparse cytoplasm. The larger cells
have single to multiple prominent nucleoli.

Click on this image
to enlarge it, then
on Back botton
in the Netscape Menu
to shrink it back down