Set 11 Acute Leukemias
Slide 46 of 100 Image ID 2114

Keywords
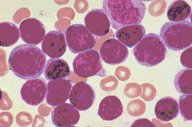
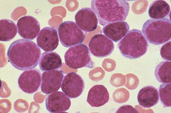
M5a - Acute Monoblastic, (T 9:11), BMA


Description
Bone marrow smear from a case of acute
monoblastic leukemia, M5A. The blasts have a
rather coarse nuclear chromatin and slight amount
of cytoplasm. These cells were positive with the
non-specific esterase stain and there was an
associated T(9;11) chromosome abnormality.

Click on this image
to enlarge it, then
on Back botton
in the Netscape Menu
to shrink it back down